Before & After Smile Gallery
-
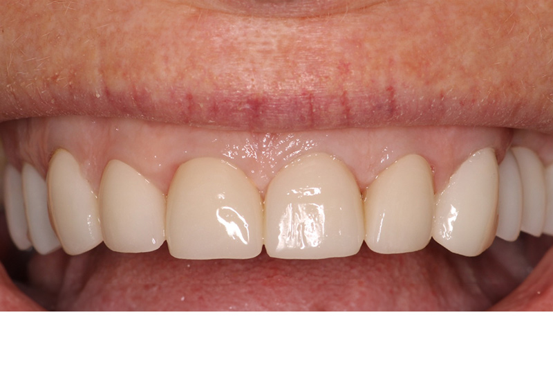
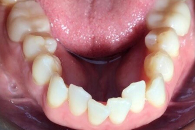
Before
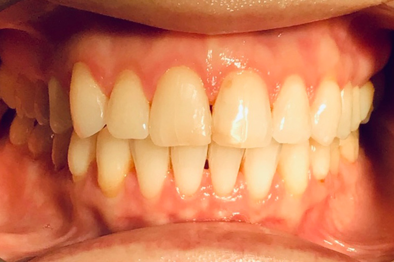
After
-
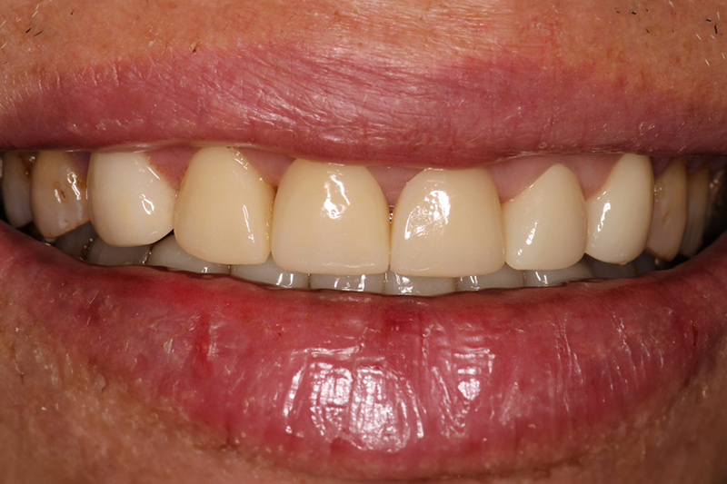
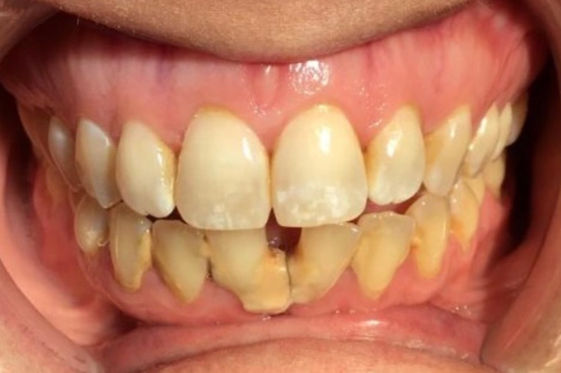
Before
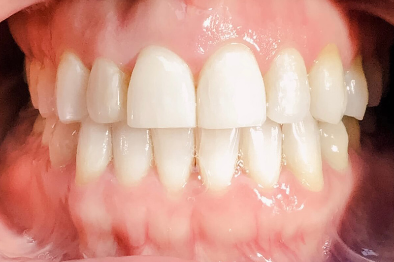
After
-
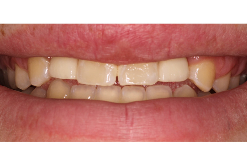
Before
After
-
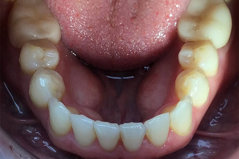
Before
After
-
Before
After
-
Before
After
-
Before
After
-
Before
After
-
Before
After
-
Before
After
-
Before
After
-
Before
After
-
Before
After
-
Before
After
-
Before
After
-
Before
After
-
Before
After
